放射線利用技術データベースのメインページへ
作成: 1997/01/15 五味 邦博
データ番号 :040056
ガンマナイフ
目的 :コバルト-60のガンマ線による癌の治療
放射線の種別 :ガンマ線
放射線源 :60Co線源(233TBq)
線量(率) :18〜100Gy
照射条件 :空気中、室温
応用分野 :放射線治療
概要 :
スウェーデンの脳外科医 Leksell は、定位的手法(stereotactic frameを頭蓋骨にピンで固定して1mm単位の精密な照準を行う方法)を用いて1回に高線量の放射線を正確に頭蓋内のターゲットに照射することにより、開頭手術を行わずに、ターゲット部位だけを破壊する方法を " radiosurgery " と呼んだ。このため彼が開発した装置がガンマナイフ gamma knife,正式には Leksell gamma unit である。現在は、CT,MRIなどの画像診断の進歩とともに、脳の血管の奇形でくも膜下出血の原因となる脳動静脈奇形(arterio-venous malformation, AVM)、良性の腫瘍、癌の脳転移などの治療に利用されている。
詳細説明 :
1.ガンマナイフの利用状況
1987年には世界でも5台が稼働していたにすぎないが、その後急速に普及し、1994年現在では60台にまで増え、治療患者数も21,000人に達している。日本では1990年に東京大学医学部附属病院に導入され、現在までに12台が設置されている。
Radiosurgeryはガンマナイフに端を発するが、現在ではライナックを用いて多数の方向からX線を集中する方法(non-coplanar techniqe)、陽子線や重粒子線を用いる方法が臨床応用されている。いずれも基本的アイディアはガンマナイフと同じである。
2.ガンマナイフの構造と治療
ガンマナイフは照射ユニット、コリメータヘルメット、治療テーブルからなる。照射ユニットのなかには201個の60Co線源(1.11TBq/個)が半球面状に5列で配列される。各線源から発生するガンマ線はそれぞれの線源に取付けられたコリメータによって細いビームとなり、1点に集中する(図1)。

図1 ガンマユニットの構造(原論文1より引用)
照射ユニットのコリメータで細く加工されたビームは、コリメータヘルメットのコリメータによってさらに集束される。患部はコリメータヘルメットの中心に位置し、照射時にはシールドドアが開き、治療テーブルが移動することでコリーメータヘルメットは照射ユニットと密着し、双方のコリーメータは図1のように一致する。この時点、で照射が開始され、計画された時間照射されるとテーブルは引き出される。
ガンマナイフによってつくられる線量分布(吸収線量の分布)は図2のようになり、照射野辺縁での線量勾配が非常に急峻となっている。これは通常のライナックでの線量分布とは大きく異なる点であり、限局した小さな病巣に放射線を集中するために理想的である反面癌病巣のように周囲にも顕微鏡的に細胞が分布する境界不鮮明な患者には不利となる。コリメータ径の異なる4種類のコリーメータヘルメットが用意されており、90%線量域がそれぞれほぼ4、8、14、18mmになるように設計されている。最大の18mmコリメータを使用する場合、50%線量域は径25mm程度となる。逆にこれ以上の大きさの病巣はガンマナイフでは治療が困難である。

図2 ガンマナイフの線量分布(原論文1より引用)

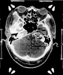
図3 聴神経鞘腫の線量計画(原論文4より引用)
図3に内耳道内への進展に伴う聴神経鞘腫に対する線量計画を示した。境界部の外側での線量の減衰はきわめて急速なため、周囲の脳組織への影響を最小限にしつつ、病変部組織を破壊するのに十分な線量を1回で照射することができる。通常の照射線量は脳動静脈奇形で20〜50Gy、聴神経鞘腫などの良性腫瘍で18〜20Gy(いずれも境界部の線量)であり、照射時間は通常15〜30分である。下垂体微小腺腫や機能外科の場合にはさらに大量の線量(40〜100Gy)を照射する。ちなみに、1回大量照射の効果は、従来の分割照射の約3〜5倍と考えられている。
治療は局麻で行われ、枠の装着やCT・脳血管撮影などを含めると、全課程では4〜6時間を要する。患者は治療前日に入院させ、治療翌日に退院とする。退院後はただちに元の生活レベルに復帰できる。
3.ガンマナイフ治療の長所
(1)開頭することなく、頭蓋内の治療を行えるので、手術に伴う合併症の危険がない。
(2)これまでの手術では治療が行えなかった部位(脳幹部など、生命機能にかかわる部位は手術が困難である)でも治療が可能である。
(3)高齢者や全身状態が悪く、開頭手術の適応でない症例でも治療が可能である。
(4)治療は普通2泊の入院ですみ、開頭手術と比べ入院期間がはるかに短い。
(5)放射線抵抗性で、通常の分割照射(連日、約1ヶ月にわたって照射する)では制御できない疾患でも効果が期待できる。
4.ガンマナイフ治療の短所
(1)3cmを越える大きな疾患の適用は望ましくない。
(2)stereotactic frameを取り付けてから治療計画を行うため、分割照射が難しく、正常組織の回復が見込めないなど、生物学的に不利である。
(3)1回大量照射であるため、従来の分割照射で蓄積されたデータが利用できない。
(4)費用が高い。現在1回の治療に約130万円かかる。
コメント :
ここでは最近急激に利用されるようになったガンマナイフについて概説した。装置が高価であり、治療費も高かったが、1996年度から保険が適用され、費用面での患者の負担が軽減され、ガンマナイフを設置する病院が増えている。また、放射線源60Coの半減期が5.2年であり6〜8年程度で線源を交換することになり、今後早急にその方法を確立しておく必要がある。
原論文1 Data source 1:
ガンマナイフ治療の現状と展望
中川 恵一、青木 幸昌、佐々木 康人、栗田 浩樹*)、寺原 敦朗2*)
東大医学部放射線科、 *)東大医学部脳神経外科、 2*)放射線医学総合研究所
Innervision, Vol.10, No.5, 34-40 (1995).
原論文2 Data source 2:
新しい遠隔照射治療(ガンマナイフを中心に)
中川 恵一、青木 幸昌、多胡 正夫、佐々木 康人、栗田 浩樹*)、寺原 敦朗2*)
東大医学部放射線科、 *)東大医学部脳神経外科、 2*)放射線医学総合研究所
Radioisotopes, vol.44, 50-58 (1995).
原論文3 Data source 3:
ガンマナイフ治療の現状と展望
高倉 公朋
東京女子医科大学
Isotope News, 1994年8月号
原論文4 Data source 4:
ガンマナイフ
河本 俊介、高倉 公朋
東大脳神経外科
治療学, vol.26, No.4 (1992).
キーワード:ガンマナイフ、放射線外科、gamma knife、radiosurgery
分類コード:040204
放射線利用技術データベースのメインページへ