放射線利用技術データベースのメインページへ
作成: 2005/01/17 遠藤 啓吾
データ番号 :030261
エコノミ−クラス症候群(肺血栓塞栓症)
目的 :肺動脈の閉塞により発症する肺血栓塞栓症の画像診断
放射線の種別 :エックス線,ガンマ線
応用分野 :医学
概要 :
肺動脈が何らかの原因により突然閉塞し、呼吸困難、胸痛を来す肺血栓塞栓症の診断には、胸部造影エックス線CT検査、あるいは肺血流シンチグラフィー、肺換気シンチグラフィーなどの画像診断が行われている。最近「エコノミークラス症候群」としても社会的に注目されているが、死亡率の高い病気であり、早期発見、早期治療にもましてその発生の予防が最も大切である。
詳細説明 :
肺動脈が突然閉塞し、呼吸困難、胸痛などを引きおこし、死に至ることもある肺血栓塞栓症は、一般にはこれまであまりよく知られていなかったが、ワールドカップ直前にサッカー日本代表の高原直泰選手が罹患。このため高原選手はワールドカップの出場を断念することとなり、「エコノミークラス症候群」として一躍有名になった。
高原選手の場合、海外遠征の際、飛行機の椅子に長時間同じ姿勢で座っていたために肺血栓塞栓症になったと報道されており、エコノミークラスの乗客に患者が多いことから「エコノミークラス症候群」と呼ばれていた。しかしエコノミークラスの乗客だけでなくビジネスクラスの乗客にも同じように発生することから誤解されないように「ロングフライト症候群」と呼ぶように提唱されている。
この肺血栓塞栓症は以前は欧米に多く、日本では少ないとされていたが、現在では日本でも多くの患者が罹患しているのではないかと考えられている。ただ死亡前に診断されていない症例が多く、正確な患者数、死亡者数は明らかでない。
原因として最も多いのは、同じ姿勢を長時間続けたことなどにより下肢の静脈にできた血栓が剥離し血流によって右心系から流れ、肺動脈の内腔を閉塞するもので、突然死を起こすこともある。また新潟県で起きた中越地震の際にも自家用車で寝泊りしていた住民が、車外にでた途端倒れ死亡したのもこの肺血栓塞栓症が原因だったとされている。肺末梢の動脈閉塞により肺の一部が梗塞に陥った場合は肺梗塞と呼ばれるが、病態は同じである。
飛行機や車のみならず手術後などでベッド上での長期間の安静でも下肢にできた静脈血栓が流れ、肺血栓塞栓症を引き起こすことがある。そこで病院ではリスクに応じて肺血栓塞栓症の発生予防に努めている。
それ以外にも希には腫瘍、細菌、空気などによる肺血栓塞栓症も知られているが、肺血栓塞栓症で死亡した患者を詳しく調べると、ほとんどすべての患者の下肢の深部静脈に血栓が見つかるとされており、下肢の深部静脈にできた血栓が血流によって流れ、肺動脈を閉塞したことによる。従って深部静脈血栓症(DVT ; deep vein thrombosis)とまとめて呼ぶことも多い。
患者は突然の呼吸困難、胸痛、血痰を訴えるが、この3つの症状がすべてそろうことは少ない。胸部エックス線写真、心電図も非特異的で超音波検査を含む画像診断が不可欠となっている。
この肺血栓塞栓症の確定診断には以前は肺動脈造影検査が行われていたが、侵襲性があり診断目的の検査としてはあまり行われなくなり、現在は血栓除去術として治療目的に行われる。
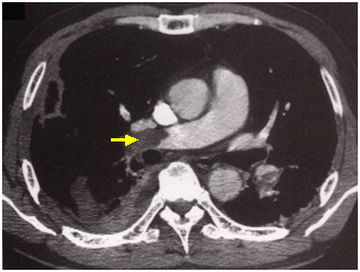
胸部の造影エックス線CTは、特にエックス線CTの進歩により肺動脈末梢の小さな血栓まで正確に診断されるようになり、現在では専ら造影エックス線CTにより診断される(図1)。

図1 肺血栓塞栓症。胸部造影エックス線CT。右肺動脈に閉塞が認められる(矢印)。(原論文3より引用)
コンピュータ技術の進歩に伴ってエックス線CT装置が益々発達し、最新の多列エックス線CT装置(MDCT)により肺血栓塞栓症は肺動脈の欠損像として診断できる。
肺血流シンチグラフィー、肺換気シンチグラフィーも肺血栓塞栓症の診断に役立つ。肺血流シンチグラフィーの原理は、肺毛細血管よりやや大きいRI標識粒子(Tc-99m MAA; macro aggregated albumin) を静脈内に注射すると、肺細動脈の毛細血管に一過性の塞栓を生じる。これを体外よりガンマカメラで画像化すると肺動脈の血流分布図が得られる。肺血栓塞栓症では血栓・塞栓の領域に一致してTc-99m MAAの欠損像を示す(図2)。

図2 肺血栓塞栓症。肺血流シンチグラフィー。肺の血流欠損が認められる(矢印)。(原論文3より引用)
肺血栓塞栓症が疑われた患者に肺血流シンチグラフィーを行い正常所見だった場合には、肺血栓塞栓症を否定できることが多い。
肺換気シンチグラフィーはRI標識ガスを吸入し、肺の換気能をみる検査である。肺血栓塞栓症では正常所見を示す(図3)。

図3 肺血栓塞栓症。肺換気シンチグラフィー。換気は正常像で、換気血流ミスマッチの所見である。(原論文3より引用)
つまり肺動脈の血栓塞栓部位に一致してその領域の血流障害を認めるが、同じ領域の換気は異常なく、このような換気・血流のミスマッチから肺血栓塞栓症と診断される。シンチグラフィーは肺血栓塞栓症の治療効果の判定、経過観察に有用である。
肺血栓塞栓症は発症の予防がもっとも重要である。まず入院した場合には、早期から下肢の自動他動運動やマッサージを行い,早期離床を目指す.弾性ストッキング゛は、中リスクの患者では静脈血栓塞栓症の有意な予防効果を認める。弾性ストッキングが足の形に合わない場合や下肢の手術や病変のためにストッキングが使用できない場合には,弾性包帯の使用を考慮する.この場合、手術前後はもちろん,静脈血栓塞栓症のリスクが続く限り終日着用する.
さらに高リスクの患者に対しては予防的にヘパリンなどの抗凝固薬を予防的に投与するなどの処置が行われる。
コメント :
肺血栓塞栓症は米国では年間65万人の患者数と報告されている発生頻度が高い病気である。一方、我が国では比較的少ないと考えられてきたが、決して少なくない病気である。本症が疑われれば積極的に画像診断が行われる。
原論文1 Data source 1:
CT angiography of pulmonary embolism: Diagnostic criteria and causes of misdiagnosis.
C., Wittram, M.M., Maher, A.F., Yoo, M.K. Kalra, T.O., Shepard, T.C. McLoud.
Radiographics 2004, 24:1219-1238.
原論文2 Data source 2:
核医学ノート改訂第4版
久保敦司、木下文雄
金原出版
原論文3 Data source 3:
急性肺血栓塞栓症の画像診断
1村嶋秀市、2中川俊男、1佐久間 肇、1松村 要、1竹田 寛
三重大学医学部放射線科1、済生会松坂総合病院放射線科2
臨床画像 2003, 19:1182-1191
キーワード:肺血栓塞栓症、エコノミークラス症候群、ロングフライト症候群、深部静脈血栓症、CT、肺血流シンチグラフィー、肺換気シンチグラフィー、肺動脈
pulmonary thromboembolism, economy class syndrome, long flight syndrome, deep vein thrombosis、Computed Tomography, pulmonary perfusion scan, pulmonary ventilation scan, pulmonary artery 99mTc-MAA
分類コード:
放射線利用技術データベースのメインページへ